Portable MRI machines, an emerging technology that makes medical imaging accessible even in remote locations, accurately detected ischaemic strokes, or strokes caused by clotting, in 90% of patients scanned, according to a study led by Yale and Harvard researchers.
Previous studies have shown that these portable MRI devices can also detect strokes caused by bleeding in the brain, which are distinct from strokes caused by brain clots. The ability of portable MRI machines to differentiate the two types of stroke will help clinicians make crucial lifesaving treatment decisions quickly in remote areas for patients who lack ready access to major hospitals with expensive immobile MRI machines, the authors say.
The findings were published in the journal Science Advances.
“This is the first systematic evidence you can detect ischaemic strokes using portable, bedside devices,” said Kevin Sheth, a professor of neurology and neurosurgery at Yale School of Medicine and co-corresponding author of the study.
Outcomes for stroke patients improve dramatically the faster they receive treatment. But access to stationary MRI machines is limited for those who live far away from major hospitals or in developing countries. And even stroke patients who have access to major hospitals often have to wait for scans with stationary MRIs because of heavy demand for the equipment. Portable scans can be employed at a patient’s bedside, in ambulances, or at clinics in remote areas, Sheth said.
In addition, quickly differentiating between different types of stroke is crucial for determining proper treatment, the researchers say. Ischaemic strokes are usually treated with blood thinners. But that course of treatment is dangerous for those who experience haemorrhagic strokes or strokes in which there is bleeding in the brain.
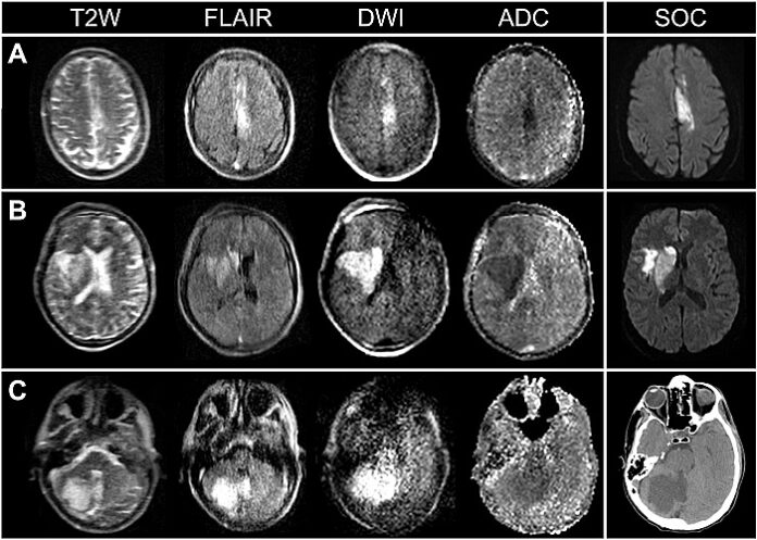
In an analysis of portable MRI scans from 50 patients at Yale New Haven Hospital, the Yale and Harvard researchers found that the results largely confirmed ischaemic stroke diagnoses made by stationary MRIs. For 45 of those patients, the portable MRI detected blood clots as small as 4 millimetres in size.
Study details
Portable, low-field magnetic resonance imaging enables highly accessible and dynamic bedside evaluation of ischaemic stroke
Matthew Yuen, Anjali Prabhat, Mercy Mazurek, Isha Chavva, Anna Crawford, Bradley Cahn, Rachel Beekman, Jennifer Kim, Kevin Gobeske, Nils Petersen, Guido Falcone, Emily Gilmore, David Hwang, Adam Jasne, Hardik Amin, Richa Sharma, Charles Matouk, Adrienne Ward, Joseph Schindler, Lauren Sansing, Adam de Havenon, Ani Aydin, Charles Wira, Gordon Sze, Matthew Rosen, Taylor Kimberly, Kevin Sheth.
Published in Science Advances on 20 April 2022
Abstract
Brain imaging is essential to the clinical management of patients with ischaemic stroke. Timely and accessible neuroimaging, however, can be limited in clinical stroke pathways. Here, portable magnetic resonance imaging (pMRI) acquired at very low magnetic field strength (0.064 T) is used to obtain actionable bedside neuroimaging for 50 confirmed patients with ischaemic stroke. Low-field pMRI detected infarcts in 45 (90%) patients across cortical, subcortical, and cerebellar structures.
Lesions as small as 4 mm were captured. Infarcts appeared as hyperintense regions on T2-weighted, fluid-attenuated inversion recovery and diffusion-weighted imaging sequences. Stroke volume measurements were consistent across pMRI sequences and between low-field pMRI and conventional high-field MRI studies. Low-field pMRI stroke volumes significantly correlated with stroke severity and functional outcome at discharge.
These results validate the use of low-field pMRI to obtain clinically useful imaging of stroke, setting the stage for use in resource-limited environments.
See more from MedicalBrief archives:
ATLAS: Large open-source data set of brain scans from stroke victims
New software detects on a CT one of the commonest causes of stroke
COVID-19 increases acute myocardial infarction and ischaemic stroke risk
Life-saving ischaemic stroke treatment rarely used
